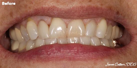
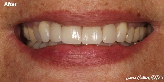
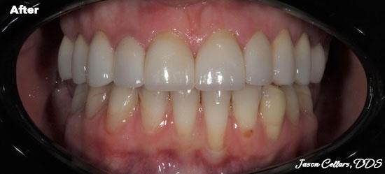
Smile Gallery
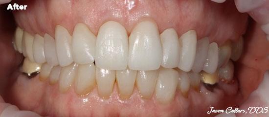
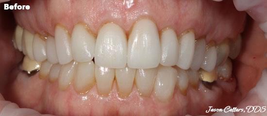
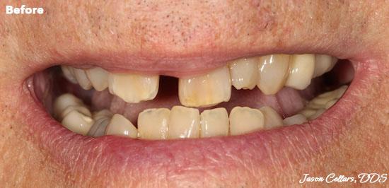
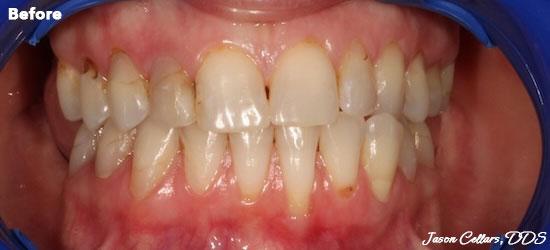
Welcome to our Smile Gallery, a showcase of real patient results. Jason Cellars, DDS combines compassionate care with advanced techniques to create beautiful, healthy smiles. We believe in achieving natural-looking outcomes that restore both function and confidence. Explore the transformations below done in our Huntington Beach office to see the quality and artistry we bring to every patient’s journey toward optimal dental health.
