Smile Gallery

Welcome to our Smile Gallery, a showcase of real patient results. Jason Cellars, DDS combines compassionate care with advanced techniques to create beautiful, healthy smiles. We believe in achieving natural-looking outcomes that restore both function and confidence. Explore the transformations below done in our Huntington Beach office to see the quality and artistry we bring to every patient’s journey toward optimal dental health.

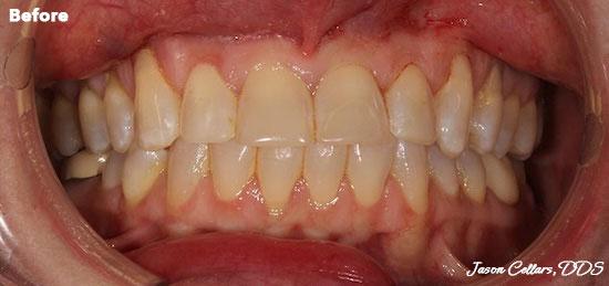
Smile Makeover

Our patient had composite veneers that he got several years ago that he didn't think solved his main concern, which was the shape of his teeth and his gummy smile. We were able to completely transform his smile to better match his face, with a more natural tooth shape and less gum display. He says "I couldn't be happier! They look more natural in my mouth than my original teeth did! They are the teeth that my face has always been waiting for!"


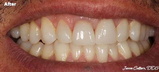
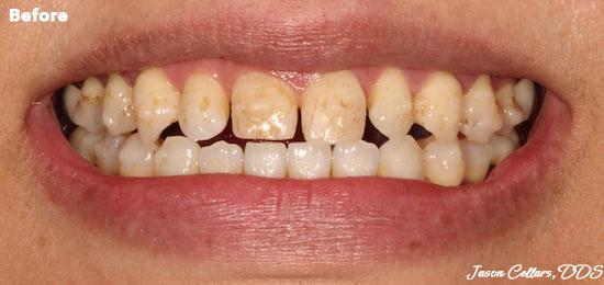
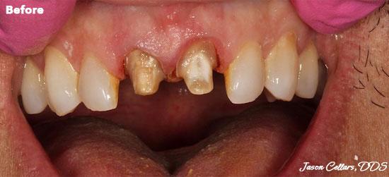
Crowns

Our young patient came in having his front two crowns broken off. One of the hardest things in dentistry is matching the front teeth to the teeth beside them. The color, texture, and translucency of the adjacent teeth needs to be mimicked almost perfectly so that our eyes don’t notice a difference at first glance. Our master ceramist was able to make a near-perfect match that our patient was ultimately very pleased with. He was happy to be able to smile confidently again.


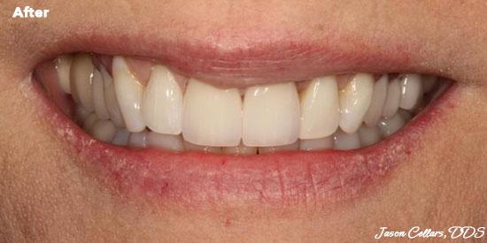
Ceramic Bridge

Our amazing patient was tired of using a removable appliance to replace her front teeth and was embarrassed to eat or socialize around her friends. To replace her front teeth, we made her a beautiful all ceramic bridge that looks completely natural and functions just like normal teeth. She was extremely emotional and grateful with her final results. This was truly one of those cases that changed the patient’s life.


Composite Veneers

Our patient wanted a same-day fix to the space in his teeth so we gave him same-day composite veneers to change the space of his four front teeth to be able to close his space without changing the proportions of his teeth. Same day composite veneers aren't as strong as porcelain veneers so will have to be replaced in a couple of years, but can be a great option in certain situations.


Veneers 1

Our patient came in and was very self-conscious about the size of his teeth and wanted them whiter. By custom making him 10 beautiful veneers we were able to give him the ideal shape and size that fit his face. We were also able to make them much whiter while giving them enough texture and translucency to ensure that they still looked natural without looking like chicklets or fake teeth.


Veneers 2

Our patient came in wanting her teeth as white as possible (while still looking natural). We designed her 10 veneers with a more feminine shape that complimented her face and added a lot of texture and translucency to her veneers to make them still look like natural teeth even with them being very white. A very beautiful result that brightens the patients entire face.


Veneers 3

Our patient came in unhappy with the dark yellow color of her one front tooth and didn't like that the other front tooth was worn and flat on the edge. These cases are different from our full veneer cases because we want the color and texture of the veneers to perfectly match the rest of her teeth so that you can't tell that they aren't her natural teeth. We added staining and craze lines into the porcelain here to perfectly match the rest of her teeth. She is happily smiling again without being conscious of her discolored front tooth.


Veneers 4

Our patient came in wanting to replace her old veneers because they were dark, opaque, and didn't look like natural teeth. We evened out her gum line and gave her 18 beautiful new veneers with translucent edges so that they look natural even though they are very white. We were also able to fix her bite with this many veneers to give her the "most comfortable bite [she's] ever had".


Veneers 5

Our patient came in wanting her smile changed because she was embarrassed by the stain on her teeth. We were able to do "no-prep" veneers on this patient after properly positioning her teeth with Invisalign. It was important for her to have natural looking veneers, so we added beautiful texture and translucency to make her new smile look completely natural.


View More Amazing Transformations

1 2 3

Schedule Today

Schedule your appointment with Jason Cellars, DDS today. We look forward to providing the care you deserve.

Book Your Appointment

Jason Cellars, DDS
18652 Florida St #300
Huntington Beach, CA 92648
Call (714) 848-4247
Mon–Fri 9:00AM – 5:00PM Sat–Sun Closed
Website Design & Marketing by Optima